
关于举办医院病理科专项上岗培训通知;含PCR基因扩增检验实验室人员岗位能力、病理实验室内审员、生物安全上岗证、实验室质量管理师
昨天 15:52

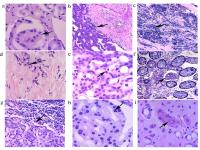
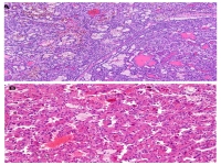
肾脏肿瘤系列学习-常见肾细胞肿瘤(三)
昨天 09:40

肾脏肿瘤系列学习-常见肾细胞肿瘤(二)
前天 09:17

肾脏肿瘤系列学习-常见肾细胞肿瘤(一)
2025-10-13 09:24

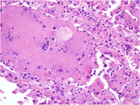
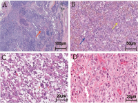
肾脏肿瘤系列学习-高级别肾细胞肿瘤(三)
2025-10-11 09:21

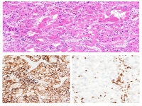
恶性肿瘤血液及浆膜腔积液免疫微环境评估及临床应用
徐海苗
浙江省肿瘤医院病理科副主任
2025-10-15 20:00

2017年第04期(总第123期)——双侧腹股沟淋巴结肿大 
