
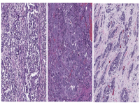
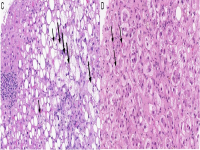
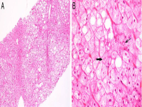
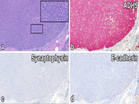
肾脏肿瘤系列学习-高级别肾细胞肿瘤(三)
前天 09:21

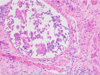
肾脏肿瘤系列学习-高级别肾细胞肿瘤(二)
2025-10-10 09:18

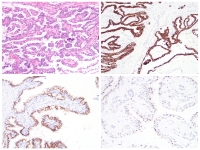
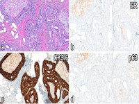
肾脏肿瘤系列学习-高级别肾细胞肿瘤(一)
2025-10-09 09:35

病例分享 | 青年上皮样肉瘤1例
2025-09-30 15:14

前列腺癌前驱病变-来自国际泌尿病理学会的共识(三)
2025-09-30 11:04

罕见类型心肌炎还是心肌病?-1例误诊病例引发的思考
李莉
中国医学科学院阜外医院病理科
2025-10-14 20:00

2017年第04期(总第123期)——双侧腹股沟淋巴结肿大 
