病理人员专项上岗培训:关于举办PCR基因扩增检验人员岗位能力培训通知、病理实验室15189内审员、生物安全、实验室质量管理师

7小时前

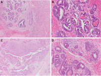
读文献,学病理-乳腺乳头状肿瘤难点总结(一)

13小时前

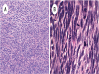
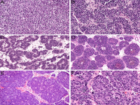
关于横纹肌肉瘤的病理医师应知应会(二)

2025-12-12 09:31

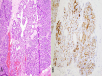
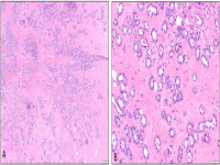
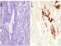
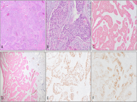
皮肤基底细胞癌伴骨样基质形成一例

2025-12-11 14:18

关于横纹肌肉瘤的病理医师应知应会(一)

2025-12-11 10:00

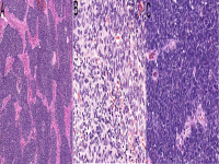
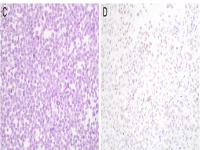
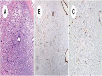
浅析分子病理学技术辅助淋巴瘤疑难病例诊断及注意事项

时云飞
北京大学肿瘤医院病理科
2025-12-16 20:00
4

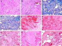
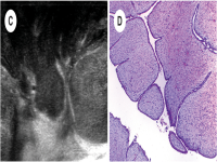
2017年第04期(总第123期)——双侧腹股沟淋巴结肿大 

 15 2017-11-16
回到顶部